ونیر کامپوزینت چیست؟
کامپوزیت ونیر (Composite Veneers) یک روش درمان نوین در دندانپزشکی برای اصلاح طرح لبخند و رفع عیوب ظاهری دندان محسوب میشود. دندان برخی افراد ممکن است به دلایلی همچون دندان قروچه، عوامل طبیعی و ژنتیک دچار شکستگی یا لب پریدگی شود. کامپوزیت یک ماده خمیری و از جننس رزین میباشد که میتوان هم رنگ دندان طبیعی یا روشنتر باشد. این ماده روی سطح دندان قرار گرفته و به وسیله اشعه مخصوص و با چسب مخصوص محکم میشود.
تفاوت ونیر کامپوزیت با کامپوزیت عادی چیست؟
دلایلی مثل فاصه بین دندان های جلو یا شکستگی، رنگ نامناسب، و.. باعث محرومیت از یک لبخند زیبا میشود که درمان ونیر کمک به از بین بردن این چنین نارضایتی هاست. درمان ونیر از مواد خاص تخصصی از جمله باندینگ مناسب تشکیل شده که توسط پزشک متخصص و در زمانی مناسب انجام میپذیرد. در درمان های عادی کامپوزیت از (مواد معمولی) استفاده میشود. این درمان برای از بین بردن پوسیدگی های سطحی دندان های خلفی (آسیاب) و یا برای دندان های عصب کشی شده و آماده سازی دندان برای روکش استفاده میشود. در ترمیم های معمولی میتوان گفت فردی که دندان خود را با آمالگام یا همان ماده نقره ای رنگ پر کرده و قصد عوض کردن رنگ آن را دارد درمان ترمیمی با کامپوزیت انجام میدهد.
شرایط انجام ونیر کامپوزیت
بیماران دچار شکستگی دندان های جلو در اثر تصادف، لب پریدگی، فاصله بین دندان ها، رنگ زرد و کدر بودن دندان ها، داشتن لک های تیره یا روشن تر از رنگ دندان کاندید های مناسبی برای این درمان بوده.
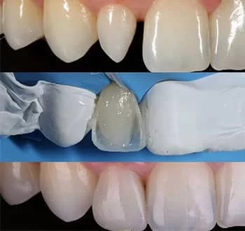
روش و فرایند کامپوزیت ونیر
-انتخاب رنگ دندان
ونیر کاپوزیت دندان را میتوان با رنگ های متنوعی اجرا کرد. بیمار باید با توجه به شرایط خود نظیر رنگ طبیعی دندان ها، رنگ پوست و چشم با مشورت دندانپزشکی رنگ مناسب با دندان خود انتخاب نماید.
-آمادهسازی دندان
برای نصب ونیر نیازی به تراش مینای دندان وجود ندارد، اما برخی اقدامات برای آماده سازی به منظور ایحاد پیوند قوی بین مینای دندان و مواد روکش کامپوزیتی ضروری است. به عبارت دیگر دندان ها باید کاملا پاک سازی شده و عاری از هرگونه جرم و پلاک باشند، طوری که هیچگونه رطوبت، بزاق یا جرم بر روی دندان قرار نداشته باشد.
-ایجاد تخلخل در سطح دندان
در این مرحله برای اینکه مواد کامپوزیت ونیر به خوبی روی دندان بچسبد، دنداپزشک نوعی اسید را با استفاده از سرنگ روی سندان پخش کرده و بعد از 15 ثانیه پاک میکند. این ماده اسیدی باعث ایجاد تخلخل در سطح دندان شده و آن را برای نصب ونیر آماده میسازد.
-باندینگ یا عامل پیوند دهنده (چسب مخصوص)
در این مرحله مواد باند محصوص یا عامل پیوند دهنده که نوعی پلاستیک مایع است روی دندان مالیده میشود. سپس دندانپزشک با نوعی نور لیزر، کاتالیست های موجود در این مواد را فعال کرده و بعد از حدود 10 تا 20 ثانیه موجب سفت شدن آن میشود.
-فرم دهی ونیر
دندانپزشک در این مرحله با لایه گذاری(تکرار فرایند قرار دادن مواد و سفت کردن آن روی دندان) و فرم دهی، به آرامی و با دقت روکش کامپوزیتی دندان شما را شکل میدهد. ظرافت و تجربه دندانپزشک در این مرحله بسیار مهم است.
-سفت کردن کامپوزیت
با اتمام کار فرم دهی و بدست آمدن شکل نهایی و مطلوب ونیر کامپوزیت دندان، دندانپزشک مواد را با نور لیزر سفت میکند. بدین ترتیب پیوند کامل و قوی بین دندان و مواد ایجاد میشود. هر دندان تقریبا 10 تا 40 ثانیه در معرض نور لیزر قرار میگیرد.
-پولیش دندان
پس ا زاتمام مراحل برای زیبا سازی و شفافیت روکش های کامپوزیتی، ونیر کامپوزیت باید پولیش شود. پولیش کامپوزیت دندان با استفاده از دیسک سمباده ای صورت میگیرد. پولیش علاوه بر صاف و صیقلی کردن دندان میتواند زوایای دندان ونیر شده را اصلاح کند. با پایان یافتن این مراحل شما میتوانید به مدت طولانی از داشتن دندان های مرتب و لبخندی زیبا لذت ببرید.

مدت زمان انجام کامپوزیت
مدت زمان کوتاه (تنها در یک جلسه) باعث شده این روش بسیار کاربردی و محبوب واقع شود. میتوان 8 تا 10 دندان را در یک جلسه کامپوزیت کرد. مدت زمان لازم برای انجام حدود 6 ساعت است و به دلیل عدم نیاز به بیحسی در صورت نیاز بیمار میتواند بین درمان استراحت کند.
عوامل موثر بر کیفیت کامپوزیت
-مهارت و تجربه پزشک
مهم است که دندانپزشک زیبایی خود را با دقت انتخا کنید زیرا مهارت هنری دندانپزشک است که ونیر کامپوزیت را با دندان های دیگر شما مطابقت میدهد. انتخاب دندانپزشک متخصص ضرورت دارد زیرا عد تخصص و مهارت دندان پزشک میتوند با بروز عوارض متعدد سبب شود تا مجدد برای ترمیم ونیر به دنداپزشکی مراجعه شود.
-جنس متریال
برند های کامپوزیت های دندانی به شکل های مختلفی تولید میشوند و در ترمیم های زیبایی ونیر، پر کردن حفره های دندان و ساخت پل به کار میروند. برند های محبوب و پرطرفدار کامپوزیت عبارتند از:




نظر خود را ثبت کنید